Check Out Our Smiles!

At Jensen Orthodontic Arts, we know that our smiles tell a story. Whether you or your child needs a simple straightening, or your situation is more complex, you can find examples of our great work right here.

No matter your age or situation, if you’re in or around McKinney, you can expect amazing results like these when you choose Dr. Douglas Jensen and the team to help you craft your smile story.

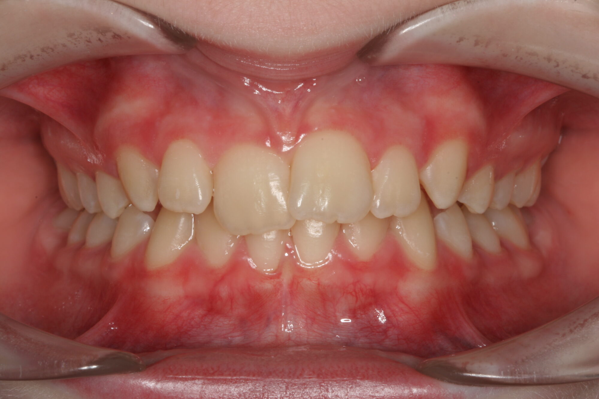
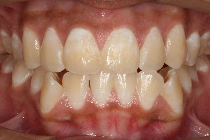
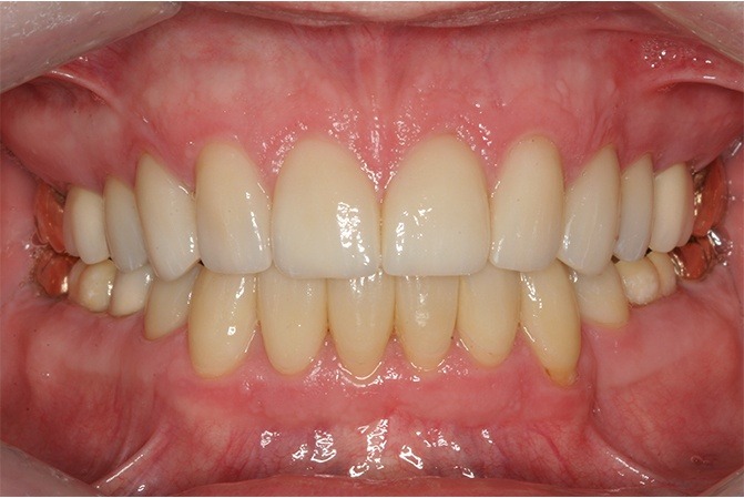
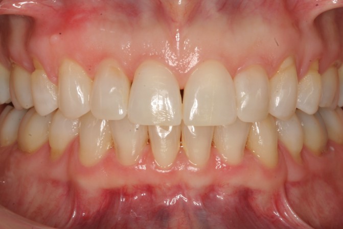
Patient 1
Before After
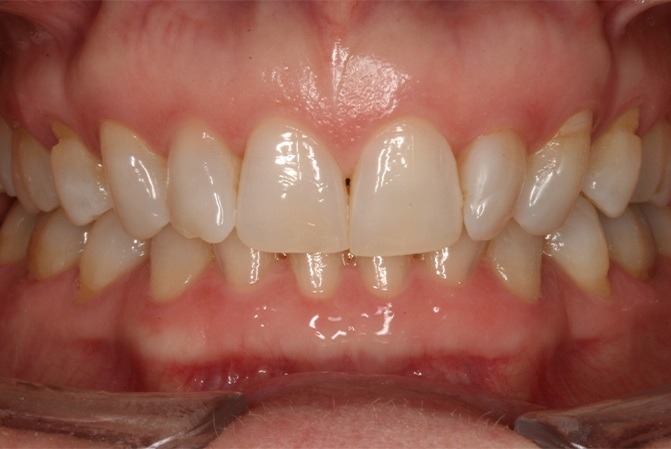
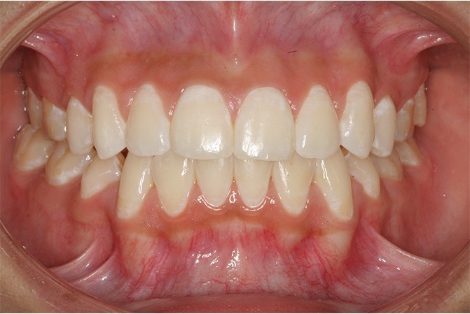
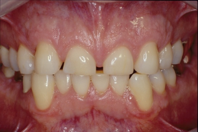
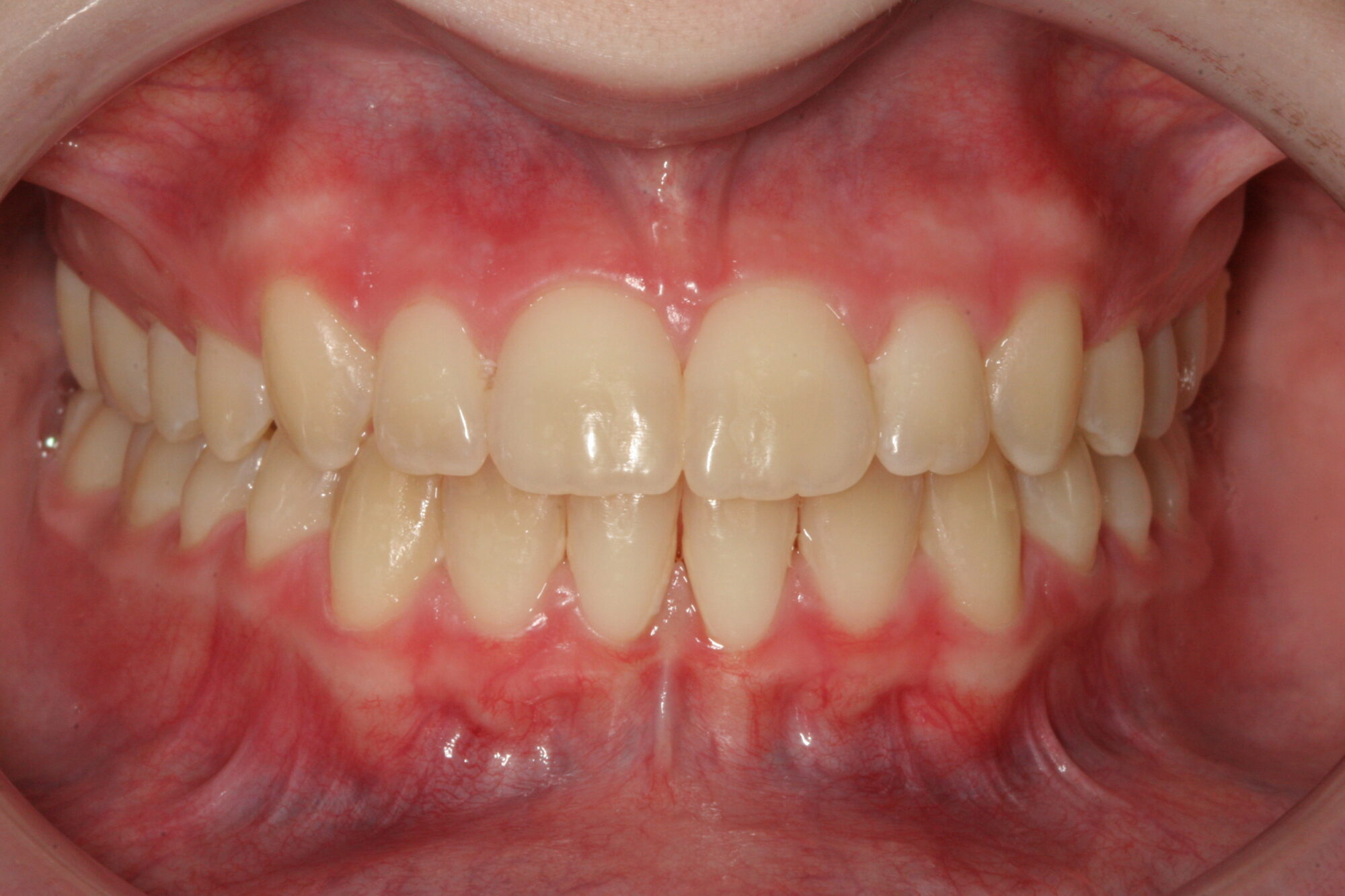
Patient 2
Before After
Patient 3
Before After
Patient 4
Before After